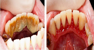
Η πέτρα είναι το κίτρινο ή καφέ κοίτασμα στα δόντια, η οποία μπορεί να οδηγήσει σε περιοδοντίτιδα, αν δεν έχει αφαιρεθεί αρκετά μεγάλη ποσότητα.
Οι περισσότεροι από εσάς ίσως να επισκέπτεστε τον οδοντίατρο για να διευθετήσετε αυτό το ζήτημα, ωστόσο, μπορείτε επίσης να κάνετε αυτή τη διαδικασία στο σπίτι σας.
Ξεπλύνετε το στόμα σας με αντισηπτικό στοματικό διάλυμα κάθε δεύτερη μέρα.
Η μοναδική οδοντόκρεμα που συνδυάζει 100% σταθεροποιημένο φρέσκο ζελέ Αλόης Βέρα και φυσική πρόπολη μελισσών χωρίς φθόριο - Κάντε κλικ ΕΔΩ
Χρησιμοποιήστε μια οδοντιατρική επιλογή οδοντόβουρτσας για το τρίψιμο της πέτρας από τα δόντια. Για να μην ερεθίσει και να βλάψει τα ούλα σας, να είστε προσεκτικοί να μην τα ξύνει.
Προκειμένου να αποκτήσετε ή να διατηρήσετε όμορφο το χαμόγελο σας, φωτεινά, λαμπερά και λευκά δόντια, ακολουθήστε τα παρακάτω τις παρακάτω συμβουλές:
Φάτε τυρί
Η κατανάλωση ελβετικού τυριού Cheddar πριν από τα γεύματα βοηθά στην εξουδετέρωση των οξέων που προκαλούν πέτρα. Το φρέσκο τυρί περιέχει συστατικά που δρουν ως υπερασπιστές.
Φράουλες και τις ντομάτες
Οι ντομάτες και τις φράουλες είναι καταπληκτικές για τη διατήρηση της στοματικής υγείας, επειδή είναι πλούσιες σε βιταμίνη C. Μπορούν να λευκαίνουν τα δόντια και να μαλακώνουν την πέτρα. Απλά τρίψτε απευθείας επάνω δόντια σας και αφήνεται έτσι για 5 λεπτά. Μπορείτε να κάνετε την ίδια διαδικασία με άλλα τρόφιμα που είναι πλούσια σε βιταμίνη C, όπως τα πορτοκάλια, τα λεμόνια, πιπεριές, μούρα, παπάγια. Στη συνέχεια, ξεπλύνετε το στόμα σας με ένα μίγμα που παρασκευάζεται από μαγειρική σόδα και ζεστό νερό.
Η μοναδική οδοντόκρεμα που συνδυάζει 100% σταθεροποιημένο φρέσκο ζελέ Αλόης Βέρα και φυσική πρόπολη μελισσών χωρίς φθόριο - Κάντε κλικ ΕΔΩ
Περαιτέρω συμβουλές για τη διατήρηση της στοματικής υγείας
- Θα Πρέπει να χρησιμοποιείτε οδοντικό νήμα τακτικά
- Καθαρίστε Το στόμα σας με φυσικό τρόπο με το σάλιο.
– Για να αποτρέψετε τα βακτηρίδια από τον πολλαπλασιασμό, τρίψτε τα δόντια σας με φλούδα πορτοκαλιού πριν πάτε για ύπνο και να μην ξεπλύνετε το στόμα σας.
– Όταν βουρτσίζετε τα δόντια σας, χρησιμοποιήστε μια μαλακή βούρτσα και να κάνετε κάθετες κινήσεις. Να είστε βέβαιοι να καθαρίζετε πάντα το κενό μεταξύ των ούλων και των δοντιών.
Οι περισσότεροι από εσάς ίσως να επισκέπτεστε τον οδοντίατρο για να διευθετήσετε αυτό το ζήτημα, ωστόσο, μπορείτε επίσης να κάνετε αυτή τη διαδικασία στο σπίτι σας.
Ξεπλύνετε το στόμα σας με αντισηπτικό στοματικό διάλυμα κάθε δεύτερη μέρα.
Η μοναδική οδοντόκρεμα που συνδυάζει 100% σταθεροποιημένο φρέσκο ζελέ Αλόης Βέρα και φυσική πρόπολη μελισσών χωρίς φθόριο - Κάντε κλικ ΕΔΩ
Χρησιμοποιήστε μια οδοντιατρική επιλογή οδοντόβουρτσας για το τρίψιμο της πέτρας από τα δόντια. Για να μην ερεθίσει και να βλάψει τα ούλα σας, να είστε προσεκτικοί να μην τα ξύνει.
Προκειμένου να αποκτήσετε ή να διατηρήσετε όμορφο το χαμόγελο σας, φωτεινά, λαμπερά και λευκά δόντια, ακολουθήστε τα παρακάτω τις παρακάτω συμβουλές:
Φάτε τυρί
Η κατανάλωση ελβετικού τυριού Cheddar πριν από τα γεύματα βοηθά στην εξουδετέρωση των οξέων που προκαλούν πέτρα. Το φρέσκο τυρί περιέχει συστατικά που δρουν ως υπερασπιστές.
Φράουλες και τις ντομάτες
Οι ντομάτες και τις φράουλες είναι καταπληκτικές για τη διατήρηση της στοματικής υγείας, επειδή είναι πλούσιες σε βιταμίνη C. Μπορούν να λευκαίνουν τα δόντια και να μαλακώνουν την πέτρα. Απλά τρίψτε απευθείας επάνω δόντια σας και αφήνεται έτσι για 5 λεπτά. Μπορείτε να κάνετε την ίδια διαδικασία με άλλα τρόφιμα που είναι πλούσια σε βιταμίνη C, όπως τα πορτοκάλια, τα λεμόνια, πιπεριές, μούρα, παπάγια. Στη συνέχεια, ξεπλύνετε το στόμα σας με ένα μίγμα που παρασκευάζεται από μαγειρική σόδα και ζεστό νερό.
Η μοναδική οδοντόκρεμα που συνδυάζει 100% σταθεροποιημένο φρέσκο ζελέ Αλόης Βέρα και φυσική πρόπολη μελισσών χωρίς φθόριο - Κάντε κλικ ΕΔΩ
Περαιτέρω συμβουλές για τη διατήρηση της στοματικής υγείας
- Θα Πρέπει να χρησιμοποιείτε οδοντικό νήμα τακτικά
- Καθαρίστε Το στόμα σας με φυσικό τρόπο με το σάλιο.
– Για να αποτρέψετε τα βακτηρίδια από τον πολλαπλασιασμό, τρίψτε τα δόντια σας με φλούδα πορτοκαλιού πριν πάτε για ύπνο και να μην ξεπλύνετε το στόμα σας.
– Όταν βουρτσίζετε τα δόντια σας, χρησιμοποιήστε μια μαλακή βούρτσα και να κάνετε κάθετες κινήσεις. Να είστε βέβαιοι να καθαρίζετε πάντα το κενό μεταξύ των ούλων και των δοντιών.





